"Long and polarizing" marriage campaign in store for Minnesota.
19-year-old Dharun Ravi enters "not guilty" plea to 15 charges in Tyler Clementi case: "Ravi, of Plainsboro, was silent throughout the court appearance, which lasted less than 10 minutes. Clementi's parents and brother sat in the back of the courtroom for the brief hearing."
Priscilla actor Bill Hunter dies.
Tom Brady weeeeees down a water slide.
Obama agrees to form joint security body with UK.
Gender Rights Maryland launches on Facebook: "The purpose of Gender Rights Maryland is to promote civil rights, education, tolerance, equality and acceptance on the basis of sex and gender identity/expression in the State of Maryland. Gender Rights Maryland's initial legislative goal is to see the passage of a comprehensive gender identity anti-discrimination bill by the end of the 2012 legislative session."
WATCH: Gaga's Google Chrome commercial.
High school student who challenged Rep. Michele Bachmann to debate the Constitution gets rape threats, fears for safety.
Color composite of volcanic eruption on Jupiter's moon Io.
L.A. Times: Positive trend in same-sex marriage polls could bode well for federal challenge to Proposition 8. "There have been at least five national polls since last year that have shown majority and growing support for gay marriage rights. In the most recent, a Gallup survey on values and beliefs found that 53% of Americans support the right of gays and lesbians to legally marry."
Listen: Alanis Morisette releases new song.
Air France 447: Flight recorder indicates pilot not in cockpit during critical moments. "Whatever the case might be, the frozen speed sensors put the pilots in a precarious situation: At this altitude, they would have had to maintain a very precise speed to prevent the plane from stalling. Pilots have dubbed this dangerous flight condition 'deep stall.' 'If the plane can't make a recovery, it plummets at breakneck speed,' explains Jean François Huzen, an Air France captain and union representative for pilots."
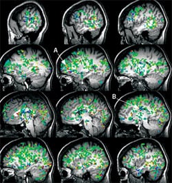
Orgasm a whole-brain experience.
Male model fix: Justin Hopwood.
The WSJ on Cuomo's NY same-sex marriage push: "At the moment, Mr. Cuomo is holding firm to his original plan. The administration is trying to pass a bill before the end of session in June, but is waiting to advance a bill in the Senate until more votes are secured. 'It's a continuous push to get this done before June 20,' said a Cuomo official."
Author calls for boycott of all heterosexual weddings: "How utterly absurd to celebrate an institution that I am banned from in most of the country. It puzzles me, truth be told, that wedding invitations deluge me. Does a vegan frequent summer pig roasts? Do devout evangelicals crash couple-swapping parties? Do undocumented immigrants march in Minuteman rallies?"



